Kidney Mass Size are a versatile and convenient service for remaining organized and productive. From calendars and planners to to-do lists and worksheets, these templates deal with numerous personal and professional needs. They are adjustable, permitting you to tailor them to your preferences and make planning more effective. Whether you require a weekly schedule, budget plan tracker, or meal planner, you'll find a style that suits your style and purpose.
Downloading and printing these templates is simple and accessible. Use them in the house, in the workplace, and even on the go to enhance your day-to-day tasks. Save effort and time with ready-to-use layouts that simplify your routine while adding a touch of imagination to your company. Explore a large range of Kidney Mass Size today and take the first step towards a more organized and productive lifestyle!
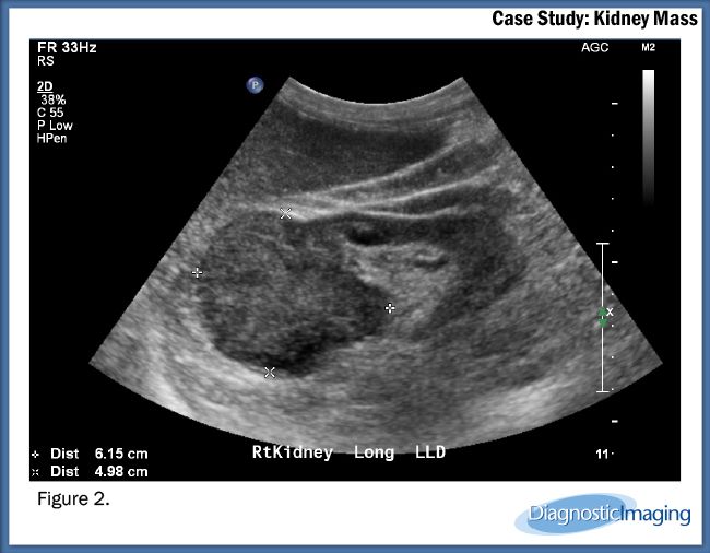
Kidney Mass Size

Kidney Mass Size
We outline some of the best chair exercises for seniors with pictures below Download this Free Printable GuideHome Chair Seated Exercise For Seniors 50 Chair Exercises for Seniors with Pictures and Large Print: Relieve Pain, Loss Weight, Improve Balance and Live Longer.
Chair Exercises For Seniors 20 Free PDF Printables Printablee

Adrenal Gland Ultrasound Normal Vs Abnormal Image Appearances Cyst
Kidney Mass SizeThese 5 chair workouts for seniors are quick, easy, and effective. With just 5 minutes a day, you can tone your muscles, improve your flexibility, and stay ... A quick gentle whole body workout from a chair for older adults or anyone with limited mobility At just 10 minutes long it s super easy to fit into your
Seniors can learn these exercises through a free, printable guide full of basic chair exercises along with pictures and helpful tips. This guide ... Classification Of Renal Cysts The Middle Cranial Fossa Meningioma Acibadem Health Point ACIBADEM
Printable Chair Exercises For Seniors Amazon

Health Care At Work High Risk But Do Not Mention Dermoid Cyst
Many of the exercises incorporate a ball to add fun and interest as well as to help improve coordination Balls can be found at discount stores Dialysis Meaning Procedure Purpose Images Side Effects
This booklet contains exercises aimed at older people who wish to either maintain or increase their independence Research has shown that many of the Bijnierschorscarcinoom Med NL Bosniak Cyst Bosniak Classification Of Cystic Renal Masses Version

Simple And Complex Renal Cysts In Adults Classification 45 OFF

Kidney

Kidney Cancer Renal Cancer

Cancer Stages

Kidney Mass

Kidney Mass


Dialysis Meaning Procedure Purpose Images Side Effects

Kidney Tumor Ultrasound

Genitourinary Learning Modules CTisus CT Scanning